MẮT 2 MÍ CHUẨN Á ĐÔNG:
MẮT TO, MÍ ĐẸP, CUỐN HÚT TỰ NHIÊN
- Trang chủ
- /
- Cắt mắt 2 mí
Cắt mắt 2 mí là gì?
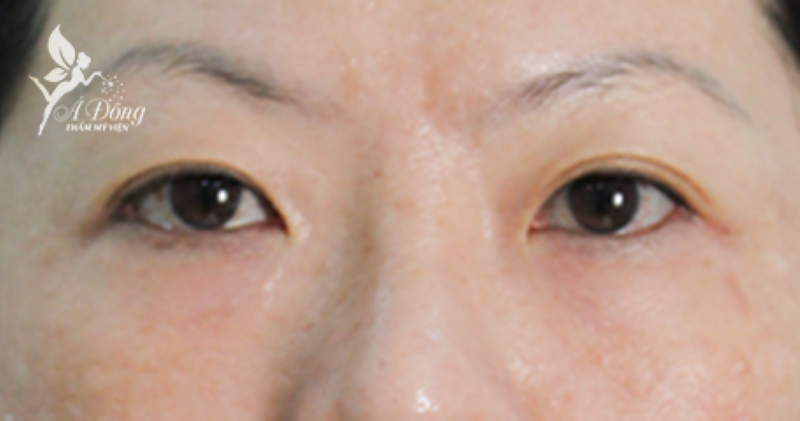
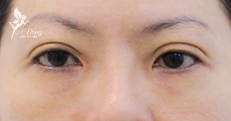
Before & After






BẤM MẮT 2 MÍ TẠI Á ĐÔNG VỚI BÁC SĨ CHUYÊN GIA
100% quá trình thực hiện bởi những bác sĩ chuyên gia: ThS. BS. Phạm Hồ Nam (Tu nghiệp tại Úc, nguyên bác sĩ chính tại Khoa Phẫu Thuật Tạo Hình Thẩm Mỹ BV Chợ Rẫy, hơn 15 năm kinh nghiệm và trên 3000 ca bấm mí). BS. Ngô Xuân Dung (Chuyên gia hơn 25 năm kinh nghiệm)
Kỹ thuật tạo mí tự nhiên chuẩn Á Đông: Thiết kế nếp mí hài hòa với cấu trúc mắt và khuôn mặt, không quá sâu, không trợn, không lộ dấu vết thẩm mỹ.
Quy trình chuẫn hóa giúp kiểm soát hiệu quả: (1) Thăm khám và đánh giá cấu trúc mắt → (2) Đo vẽ nếp mí phù hợp → (3) Sát khuẩn – gây tê vùng mắt → (4) Thực hiện cắt mí hoặc bấm mí →(5) Tái khám và theo dõi hồi phục Thời gian thực hiện: 30 – 60 phút.
Phác đồ cá nhân theo từng khách hàng: bác sĩ sẽ căn cứ trên đặc điểm vùng mắt, khuôn mặt, độ tuổi, mong muốn thẩm mỹ cá nhân... để thiết kế phương án thẩm mỹ phù hợp với mỗi khách hàng.
Kết quả thẩm mỹ cao: nếp mí đẹp tự nhiên, làm mắt to và có chiều sâu hơn, gương mặt tươi tắn, trẻ trung hơn, duy trì hiệu quả lâu dài vượt trội.
TƯ VẤN CÙNG BÁC SĨ CHUYÊN GIA Á ĐÔNG
Bác sĩ tư vấn 24/7
33B Tú Xương, Phường Xuân Hoà, TP. Hồ Chí Minh (Quận 3 cũ)
0938 488 099 (Zalo)
Thứ 2 - Thứ 7 9:00 AM - 5:00 PM
Q&A
Những câu hỏi thường gặp về Cắt mắt 2 mí
Chỉ gây tê tại chỗ nên quá trình thực hiện khá nhẹ nhàng, sau làm chỉ hơi căng nhẹ vùng mí trong 1–2 ngày.
3–5 ngày giảm sưng; 5–7 ngày cắt chỉ; sau 2–3 tuần mí mềm và tự nhiên hơn.
Cắt mí có thể duy trì lâu dài nhiều năm. Bấm mí duy trì trung bình 5–7 năm tùy cơ địa.
Tại TMV Á Đông, chi phí dao động từ 10.000.000đ – 20.000.000đ tùy phương pháp cắt mí hay bấm mí và tình trạng mí mắt."
THẨM MỸ VIỆN Á ĐÔNG
ĐẸP VÌ ĐÚNG, ĐẸP CHUẨN Á ĐÔNG
BS. Ngô Xuân Dung – “Với tôi đẹp trước hết phát đúng: Đúng chuyên môn, đúng phương pháp & kỹ thuật, đúng đối tượng, đúng chỉ định, đúng vật liệu và đúng bác sĩ. Đẹp phải đi liền với an toàn, dài lâu và phù hợp với người Á Đông hiện đại”